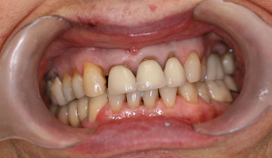
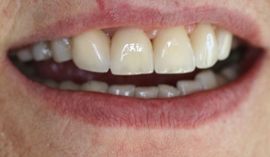
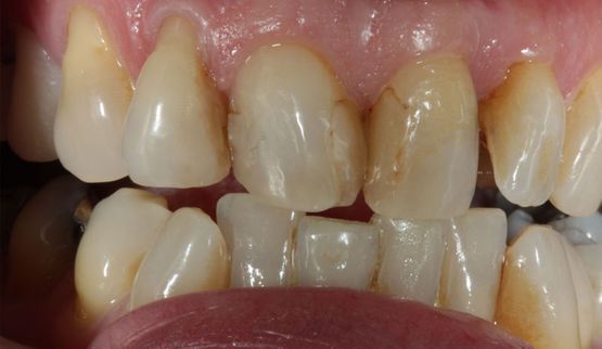
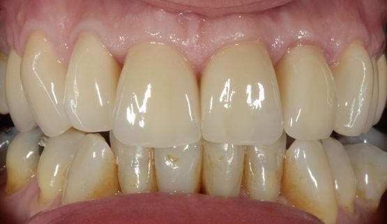
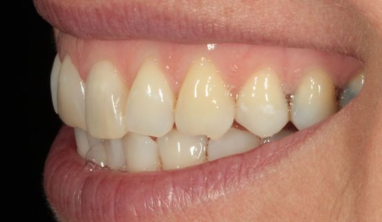
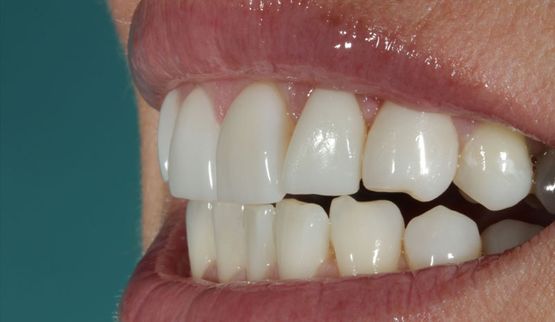
Oberkiefer frontzahnkronen (einzeln)
aus Zirkonoxyd, von Zahn 12 bis 22
Behandlungsdauer ca. 1 Woche
Vorher
 
Nachher
 
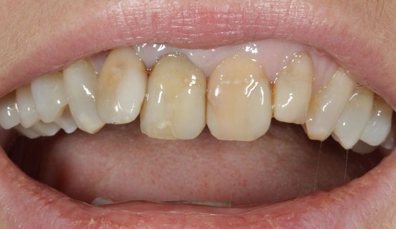
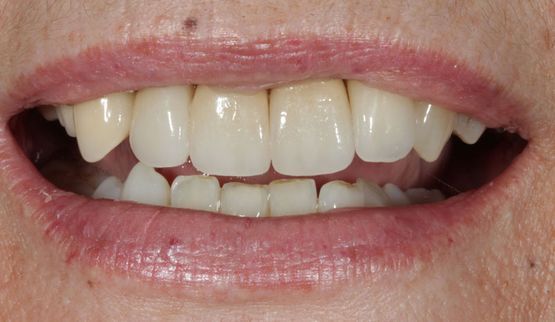
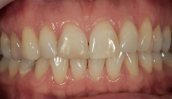
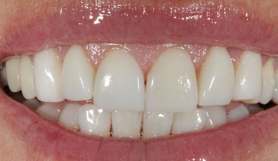
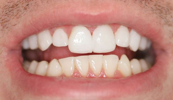
Oberkiefer frontzahnkronen (einzeln)
aus Zirkonoxyd, von Zahn 13 bis 23
Behandlungsdauer ca. 1 Woche
Vorher
 
Nachher
 
Kronen & Veneers
Zirkonoxykronen von Zahn 12 bis 22, 13 und 23 Veneers, 
Behandlungsdauer ca. 1 Woche
Vorher
 
Nachher
 
Veneers
Zahn 13 bis 23 Non prep Veneers, Zahn 14 Zirkonoxydkrone
Behandlungsdauer ca. 10 Tage
Vorher
 
Nachher
 
Vorher - Seitenansicht
 
Nachher - Seitenansicht
 
Veneers
Non prep Veneers von Zahn 15 bis 25.
Behandlungsdauer ca. 10 Tage
Vorher
 
Nachher
 
 
